一般的に矯正歯科治療を受ける場合、どのような症例があるのか見ていきましょう。
良い歯並びというのは、見た目にも美しく、歯の隙間が少ない状態です。また、綺麗なアーチを描いて前歯から奥歯まで並んでいて、上下のかみ合わせも均等に合っています。
また、多くの場合は上あご、下あごのバランスが悪いと歯並びも悪い場合が多いです。噛み合せは顎だけでなく、姿勢や体全体の健康状態とも密接な関係があり、腰痛や肩こりの原因にもなるのです。

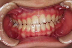
でこぼこに生えた乱ぐい歯や、犬歯が他の歯より前に飛び出している八重歯。
叢生は、アゴの大きさと歯の大きさが合わないためにバランスが悪くなっています。
一般的には、アゴが痩せて細くなっている場合が多く、歯の生える場所がなくなっています。
歯ブラシもしづらい状態なので、虫歯や歯周病・歯槽膿漏にかかりやすくなります。

前歯が咬んでいない状態です。
口を閉じても前歯は開いてしまったり、奥歯で噛んでいても前歯が咬んでおらず、歯が上下で噛み合いません。空気が漏れやすい状態なので、発音に問題が出る場合も多く見られます。
子供の頃の指おしゃぶりや口で呼吸を続けていたりする事などが原因になっています。

上あごや上の前歯が強く前に飛び出している状態です。
歯だけが前へ飛び出ている状態と、上あご全体が前方に突き出ている場合があります。逆に上あごが突き出ているのではなく、下あごが後方に引っ込んでいるような骨格性のものも見られます。

出っ歯の逆の状態です。下の歯が上の歯より前に出ていることをいいます。うまく噛めないだけでなく、発音にも影響がでてしまいます。
また、下あごが突き出ているのではなく、上あごが後方に引っ込んでいるような骨格性のものも見られます。

歯と歯の間に隙間が出来ている症状です。
機能的な問題よりも視覚的に美しくありません。隙間を埋める必要があります。

上下の奥歯が横にずれて、反対に組み合わさっている噛み合わせです。
上下の真ん中の前歯の中央のラインがずれている場合が多いです。

歯が重なり合って、口の中がでこぼこしています。見た目もよくありません。
上下の歯がしっかり咬み合わされていません。これではよく噛めません。